








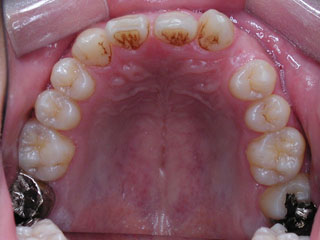
主訴:上顎前歯の突出 口が閉じにくい
診断名:叢生と伴う上顎前突
年齢:13歳
使用した主な装置名:TPB、HG、マルチブラケット装置
抜歯/非抜歯および抜歯部位:抜歯(上顎左右第一小臼歯)
治療期間:動的処置2年6か月、経過観察3年6ヶ月
費用の目安:90~140万円
リスク、副作用:抜歯によるリスク、マルチブラケット治療に伴う歯根吸収など偶発症が発生するリスクがある。
上顎前歯の前突が見られます。下の歯には中程度の叢生と口唇前突感がみられました。分析結果では、2級1類と呼ばれるタイプの不正咬合でした。上顎の左右第一小臼歯を抜歯してマルチブラケット治療を行いました。






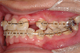
主訴:受け口 最近 左上の乳歯が抜けた
診断名:上顎左右側切歯先天欠如を伴う下顎前突
年齢:28歳
使用した主な装置名:マルチブラケット装置
抜歯/非抜歯および抜歯部位:非抜歯
治療期間:動的処置2年6か月、経過観察3年
費用の目安:90~140万円
リスク、副作用:マルチブラケット治療に伴う歯根吸収など偶発症が発生するリスクがある。
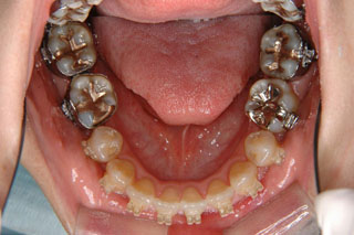
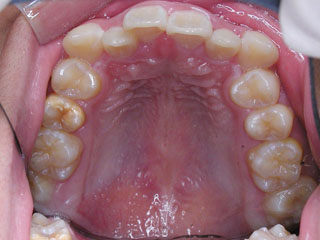
下顎前突が見られます。上顎の左右の側切歯(2番目の歯)は先天欠如でした。最近まで左上の乳犬歯が残っていた跡が見られます。下の歯は叢生も見られません。先欠の対応では素直に考えて人工的に歯を補う補綴処置が第一選択肢になります。矯正治療では、しばしば抜歯を行う事が多いので、先欠が在れば、その他の歯を抜歯して解決する事も多いですが、この方の場合は非抜歯の計画に致しました。






非抜歯での治療になりましたので、上顎の中切歯と犬歯の間に側切歯のスペースを作っている所です。もともと歯が無かったために、前方にも側方にも歯槽骨が少なく傾斜移動が多いので慎重な移動が求められます。






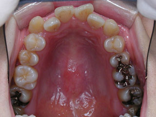
主訴:前歯の歯並び
診断名:開咬傾向を伴う叢生
年齢:31歳
使用した主な装置名:マルチブラケット装置
抜歯/非抜歯および抜歯部位:抜歯(上顎左右第一小臼歯、下顎左右第二小臼歯)
治療期間:動的処置2年6か月、経過観察3年
費用の目安:90~140万円
リスク、副作用:抜歯によるリスク、マルチブラケット治療に伴う歯根吸収など偶発症が発生するリスクがある。
開咬と叢生が見られます。どうやら左右小臼歯間の歯は、それまでの人生でほとんど使われてこなかったようです。なので通常ですと、萌出してきたらほどなく消えてしまう前歯の先端のギザギザ(切縁結節)がそのまま残っています。概ねこのような開咬の場合は、前歯で噛もう噛もうとしているため、臼歯部を回転中心にした顎位のズレを生じている事が多いです。中心位マウントの咬合器やCPI測定で、更に大きな開咬である事が見つかります。






むりやり非抜歯で並べると、まるで前歯が噛まなくなったり、さらに顎をずらして噛む人になってしまいますので、小臼歯抜歯で対応しています。このケースでは下顎の非対称も見られるのですが、治療メカニクスが不十分であったため、正中変位の改善が達成されませんでした。しかし開咬傾向が強いケースでは、できるだけ顎間ゴムは使わない事にしています。なぜなら、そのようなメカニクスは多かれ少なかれ、顎関節のズレを生じさせると考えられるからです。今時分なら、歯科矯正用アンカースクリューのメカニクスを用いて改善しているでしょう。






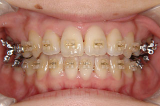
主訴:前歯の歯並び
診断名:開咬傾向を伴う叢生
年齢:14歳
使用した主な装置名:HG、TPB、マルチブラケット装置
抜歯/非抜歯および抜歯部位:抜歯(上顎左右第一小臼歯)
治療期間:動的処置1年10か月、経過観察3年
費用の目安:90~140万円
リスク、副作用:抜歯によるリスク、マルチブラケット治療に伴う歯根吸収など偶発症が発生するリスクがある。
過蓋咬合が見られます。下顎の前歯がほとんど見えない状態に隠れています。タイプとしては2級2類と呼ばれる不正咬合です。上下共に中程度以上の叢生が見られますが、上顎前突の改善のために上顎のみ小臼歯抜歯としました。