

舌側矯正とは、リンガルブラケット矯正装置を用いた矯正治療のことです。用いられる装置には、薬機法対象となる医療機器認証番号がある製品(STb、クリッピーLなど)と、カスタムメイド型リンガルブラケット矯正装置(インコグニート、ハーモニーなど) があります。カスタムメイド型リンガルブラケット矯正装置については、製品ではなく技工物の扱いとなっているため、薬機法対象外の矯正歯科装置となります。その場合は医薬品副作用被害救済制度の対象外となる場合があります。当院では、上記のいずれも取り扱いを行なっておりますが、現在は主にカスタムメイド型リンガルブラケット矯正装置(ハーモニー)を使用しております。






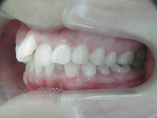
訴:右上の前歯
診断名:上顎前突を伴う叢生
年齢:18歳
使用した主な装置名:ペンデュラム、HG、リンガルブラケット矯正装置
抜歯/非抜歯および抜歯部位:抜歯(上顎左右第二大臼歯)
治療期間:動的処置3年2か月、経過観察3年
費用の目安:90~140万円
リスク、副作用:抜歯によるリスク、マルチブラケット治療に伴う歯根吸収など偶発症が発生するリスクがある。
このケースは、検査診断の結果、前歯部被蓋、臼歯関係いずれもII 級をしめす上顎前突で叢生を伴っていました。治療計画としては、上顎歯列全体の遠心移動を計画いたしました。比較的、形の良さそうな第三大臼歯(親不知)が後ろにいたので、上顎の第二大臼歯だけ抜いてもらい第一大臼歯を後ろに動かすことにしました。今ではほぼ使用することがなくなりましたが、ペンデュラムの装置を用いています。





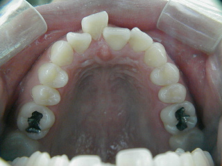
上顎左右第一大臼歯の遠心移動が達成されています。これだけ動いてくれると臼歯関係の確立、前歯部被蓋の確立、叢生の解消が達成できそうです。第一大臼歯の遠心に見えるのは第二大臼歯を抜歯後すかさず萌出してきた第三大臼歯(親不知)です。この後で上の歯にもリンガルブラケット矯正装置を装着いたしました。