

舌側矯正とは、リンガルブラケット矯正装置を用いた矯正治療のことです。用いられる装置には、薬機法対象となる医療機器認証番号がある製品(STb、クリッピーLなど)と、カスタムメイド型リンガルブラケット矯正装置(インコグニート、ハーモニーなど) があります。カスタムメイド型リンガルブラケット矯正装置については、製品ではなく技工物の扱いとなっているため、薬機法対象外の矯正歯科装置となります。その場合は医薬品副作用被害救済制度の対象外となる場合があります。当院では、上記のいずれも取り扱いを行なっておりますが、現在は主にカスタムメイド型リンガルブラケット矯正装置(ハーモニー)を使用しております。
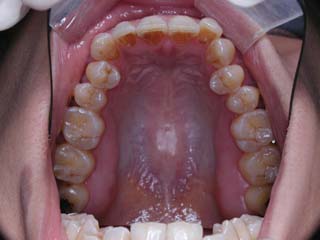
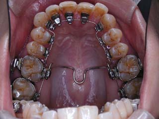
この症例では、上顎にリンガルブラケット矯正装置(Kurz)が用いられています。
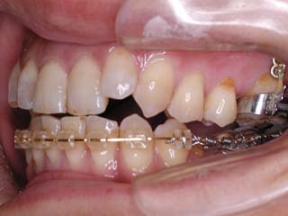
歯科矯正用アンカースクリューを用いた矯正治療について、歯科矯正用アンカースクリュー(デュアルトップオートスクリュー、ISAアドバンスなど)は医療機器認証番号がある製品が用いられます。また、オーソアンカー SMAPシステム のように医療機器承認番号があっても「顎顔面変形症及び不正咬合の外科的矯正治療、外科的矯正治療後の顎間固定」用の骨接合用品について、歯科矯正用として用いた場合は薬機法対象外の矯正歯科装置となり、医薬品副作用被害救済制度の対象外となる場合があります。
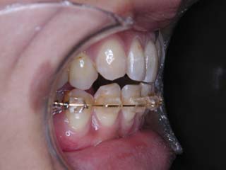
この症例では、目的外使用のオーソアンカー SMAPシステム が用いられています。







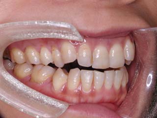
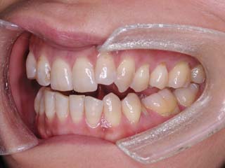
主訴:前歯の噛み合わせ
診断名:叢生を伴う開咬
年齢:28歳
使用した主な装置名:TPB、上顎リンガルブラケット矯正装置、下顎マルチブラケット装置、オーソアンカー SMAPシステム
抜歯/非抜歯および抜歯部位:非抜歯
治療期間:動的処置2年1か月、経過観察3年
費用の目安:90~140万円
リスク、副作用:抜歯によるリスク、マルチブラケット治療に伴う歯根吸収など偶発症が発生するリスクがある。
本症例について検査診断の結果、開咬、叢生、下顎前突傾向を認めました。患者希望を考慮し、治療メカニクスとして、非抜歯配列、上顎のみリンガルブラケット矯正装置、下顎唇側マルチブラケット矯正装置、および、目的外使用のオーソアンカー SMAPシステムを用いることにいたしました。






非抜歯の計画でしたが、下顎臼歯はかなり遠心移動をする予定になっていますので、親不知はあらかじめ抜歯をお願いしました。
リンガルブラケットで有れば、内側に歯科矯正用アンカースクリューを装着する方が楽なのですが、この当時は歯科矯正用アンカースクリューの成功率が十分ではない感触があったので、オーソアンカー SMAPシステムを第一選択肢にしていました。今は逆です。場所さえ選べば、歯科矯正用アンカースクリューの成績は決して悪くない上に、装着時の疼痛が極めて少ないことから、第一選択肢を歯科矯正用アンカースクリューにする事が多くなりました。