

舌側矯正とは、リンガルブラケット矯正装置を用いた矯正治療のことです。用いられる装置には、薬機法対象となる医療機器認証番号がある製品(STb、クリッピーLなど)と、カスタムメイド型リンガルブラケット矯正装置(インコグニート、ハーモニーなど) があります。カスタムメイド型リンガルブラケット矯正装置については、製品ではなく技工物の扱いとなっているため、薬機法対象外の矯正歯科装置となります。その場合は医薬品副作用被害救済制度の対象外となる場合があります。当院では、上記のいずれも取り扱いを行なっておりますが、現在は主にカスタムメイド型リンガルブラケット矯正装置(ハーモニー)を使用しております。






主訴:出っ歯
診断名:上顎前突を伴う叢生
年齢:28歳
使用した主な装置名:リンガルブラケット矯正装置
抜歯/非抜歯および抜歯部位:非抜歯
治療期間:動的処置2年2か月、経過観察3年
費用の目安:90~140万円
リスク、副作用:マルチブラケット治療に伴う歯根吸収など偶発症が発生するリスクがある。
このケースにおいては検査診断の結果、非抜歯配列を目標といたしました。幾つかの条件が揃っていないと非抜歯での矯正治療は難しいです。顎の大きさと歯の大きさのバランスや、配列された歯並びが正しく噛み合う為の上下の顎の位置関係が大切です。ガタガタの強い人をむやみに非抜歯矯正を行うとどうしても前歯を前に出したり、歯並びを横に拡げたり奥歯を後ろに押し込めたりします。平面的な問題に留まらず、顎の関節を含めた三次元的な評価が欠かせません。ガタガタの程度が中程度でしたので、IPRおよび側方拡大にて非抜歯の対応が可能と診断しました。






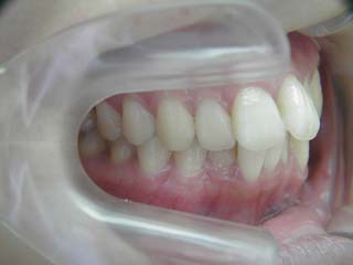
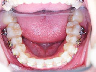
上の歯は内側の装置・舌側矯正装置・リンガルブラケット矯正装置を付けています。下の歯には通常の唇側ブラケットを用いており、いわゆるハーフリンガルなどと呼ばれている方法です。少し歯槽性上下顎前突の傾向が有りますが、プロファイルが悪くない事と、レントゲン写真の分析データが標準値以内に収まっていることを確認しています。