





主訴:前歯のはならび
診断名:上顎前突傾向を伴う叢生
年齢:8歳
使用した主な装置名:拡大型スプリント、RPE、FKO
抜歯/非抜歯および抜歯部位:非抜歯
治療期間:動的処置2年、経過観察3年
費用の目安:30~50万円
前歯が随分と前に飛び出ています。噛み合わせ という機能的な問題も大切ですが、子供の場合は、しばしば転んでぶつけて前歯を折る ということもあります。出来れば、早い段階で大きな問題は解決しておきたいところです。しかし、飛び出た前歯をそのまま後ろに動かそうと思っても隙間が無ければ動かせません。ガタガタが別の場所に出来るだけです。でも子供の場合は大人と違い、小さい顎は大きくできるチャンスがあります。



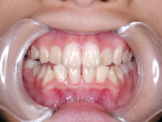
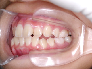
主訴:前歯のはならび
診断名:叢生を伴う上顎前突
年齢:10歳
使用した主な装置名:バイオネーター、セクショナルアーチ
抜歯/非抜歯および抜歯部位:非抜歯
治療期間:動的処置2年、経過観察3年
費用の目安:30~50万円
中程度の上顎前突と叢生(ガタガタ)がみられます。早期治療では、治療の優先度が最も高いものは、外傷などによる障害を避けることになりますが、次に優先度が高いものは、良好な成長を促すことです。検査診断の結果、治療方針として、下顎の成長促進と大人の歯が十分並ぶことの出来る大きさの顎にする事を目標としました。



成長期の時期に急激に下顎を成長促進させると、奥歯が噛み合わなくなるような変化を見せるほど下顎が大きくなる場合があります。実際には成長している部分と、顎関節の結合組織が肥厚しているだけの部分が有りますので、関節頭の関節窩へのシーティングを2-3ヶ月おいて成長量の再評価をおこないます。使用しているメカニクスにもよりますが、結果的に下顎が開くような変化を起こしますので、面長な顔だったり顎のエラが発達していないタイプの子には不適当な場合も多いです。また、装置の使用方法にエラーが有ると単なるデュアルバイトという不正咬合を作り出すかも知れません。そして、小児期の上顎前突については治療効果を認めないと主張している矯正歯科医も多いので判断は慎重であるべきでしょう。実際に上顎前突の治療でエビデンスのあるものはヘッドギアぐらいしか認められていません。その他多くの装置は治療効果を認めていません。わたくし個人としては、ヘッドギアはよく使います。そして、適正な下顎の成長を阻害しないようにする事がもっとも上顎前突を改善してくれると考えています。



主訴:反対咬合
診断名:骨格性下顎前突
年齢:9歳
使用した主な装置名:スプリント、リンガルアーチ、前方牽引装置
抜歯/非抜歯および抜歯部位:非抜歯
治療期間:動的処置2年、経過観察2年
費用の目安:30~50万円
深いかみあわせで前歯が逆に噛んでいます。ガタガタの程度は大きくありません。反対咬合の治療では、下顎の過成長をいかに食い止めるか、上顎の前方成長をいかに大きくするか考えなければいけません。多くの矯正歯科医は下顎前突の改善には舌位、呼吸などが重要だと考えています。治療計画としては、顎位のズレの除去、上顎前方牽引、MFTによる低位舌の解消、非抜歯配列を目標としました。



主訴:前歯がかめていない
診断名:開咬
年齢:9歳
使用した主な装置名:タングクリブ、TPB、HG
抜歯/非抜歯および抜歯部位:非抜歯
治療期間:動的処置2年、経過観察3年
費用の目安:30~50万円
奥歯だけ噛めていますが、前歯が噛めていません。概ね指を吸ったり、ベロを出すクセが強い人にこのような噛み合わせの問題が出てくることが多いです。クセを取り除くトレーニングだけで改善する人もいますが、問題が大きければ装置とトレーニングを併用します。



主訴:下顎が左にずれている
診断名:機能性下顎左方偏位
年齢:5歳
使用した主な装置名:機能的顎矯正装置、スプリント
抜歯/非抜歯および抜歯部位:非抜歯
治療期間:経過観察2年
費用の目安:10万円
下顎が左にずれています。ご覧の通り大人の歯も生えていない乳歯列です。通常ですとこの様な年令では、積極的な治療はしないのですが例外は機能性の下顎前突や顎変位などです。放っておくと、成長と共に大きな骨格の問題となってきますので、出来るだけ早い改善が望ましいと考えられます。正中が不一致になっている場合には、顎関節の位置でスライドするように横にずらして噛んでいる場合、骨の大きさが左右で異なる場合が混在していますので、機能的なズレを適切に評価できる検査が必要になります。
最も簡便に機能的なズレを評価する方法は、咬頭嵌合位と、中心位もしくは早期接触部位での噛み合わせを採得し、特別な咬合器に装着したものでズレを計測する事です。少し手間はかかりますが、顎運動機能検査 例えばアキシオグラフなどを用いることでも計測できます。当院では半調節性咬合器(パナデント、SAM)に中心位マウントを行う模型審査はほぼ全ての検査において必須で実施しています。また本格矯正治療時には顎運動機能検査(アキシオグラフ、アキシパス、CADIAX)を必須としております。