







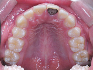
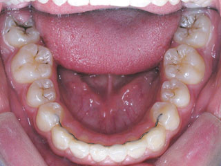
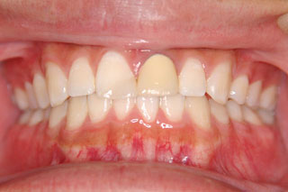
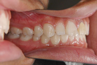
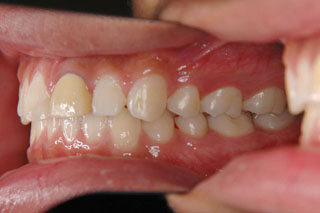
2年半ほどの治療で、装置を撤去し保定治療に移行しています。飛び出ていた前歯も、下の歯と正しく噛めるようになりました。口元の突出も消え、口唇閉鎖時に前歯が覗いて見えるという事も無くなりました。






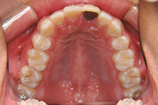
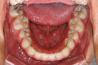
保定治療に移行してから3年半が経過しました。上の顎に生えてきた親不知は下の顎の奥歯と噛み合うようになりましたが、下の親不知は、斜めに埋まっていましたので、噛み合わせへの変化を防止するためにも早めに抜いて貰いました。矯正治療ではなるべく長期に渡って、管理を行いますが、2年3年と大きな変化が無く、緊密な噛み合わせが確保出来ていれば、将来的にも安定が期待出来ると思います。