

歯科矯正用アンカースクリューを用いた矯正治療について、歯科矯正用アンカースクリュー(デュアルトップオートスクリュー、ISAアドバンスなど)は医療機器認証番号がある製品が用いられます。また、オーソアンカー SMAPシステム のように医療機器承認番号があっても「顎顔面変形症及び不正咬合の外科的矯正治療、外科的矯正治療後の顎間固定」用の骨接合用品について、歯科矯正用として用いた場合は薬機法対象外の矯正歯科装置となり、医薬品副作用被害救済制度の対象外となる場合があります。
この症例では、目的外使用のオーソアンカー SMAPシステム が用いられています。






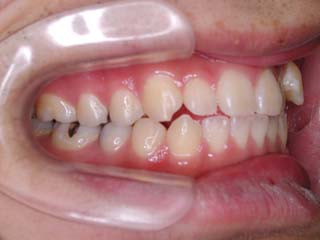
主訴:噛み合わせが悪い 顎が痛い 首が痛い
診断名:顎関節症を伴う叢生
年齢:20歳
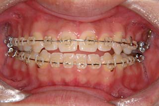
使用した主な装置名:TPB、マルチブラケット装置、オーソアンカー SMAPシステム
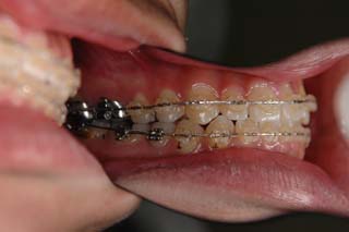
抜歯/非抜歯および抜歯部位:抜歯(上顎左側第一小臼歯)
治療期間:動的処置3年2か月、経過観察3年
費用の目安:90~140万円
リスク、副作用:抜歯によるリスク、マルチブラケット治療に伴う歯根吸収など偶発症が発生するリスクがある。
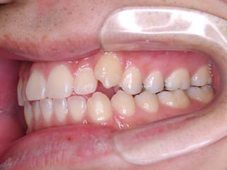
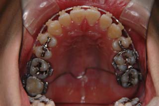
はならび自体は僅かな叢生が見られるだけなのですが、実はほとんどの歯が噛めていません。奥歯ばかりで強く噛んでいる状態です。また、顎関節症でよく見られる首、肩の具合が悪い という症状も見られました。かみ合わせとの関連性については不明ですが、適正な咬合構築に伴って、これらの症状が改善する事をよく経験します。






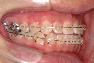
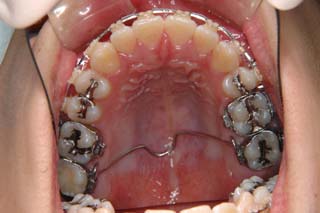
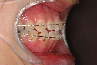
マルチブラケット装置でまっすぐに並べただけの状態です。なるほど、まるで噛めてない状態なのがよく分かります。ここでよく有りがちな矯正治療だと、上の前歯と下の前歯にゴムを1日中かけて噛ませていくのですが、それでは以前と同じく、関節をずらして噛むだけの人になってしまうでしょう。特に垂直的なコントロールが必要と考えられた上顎左側に オーソアンカー SMAPシステム の植立を行いました。






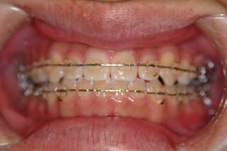
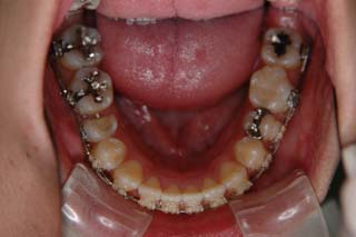
次第にアゴのズレが取り除かれて、しっくり噛めるかみ合わせに変化していっています。長い年月をかけて修飾されてきた顎関節の環境はなかなか良い形に変わりませんので、時間をかけて改善を行います。