治療例

大人の矯正治療 下顎前突

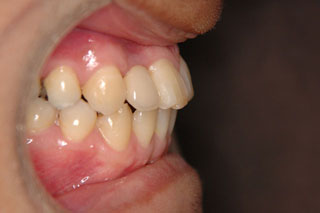
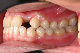
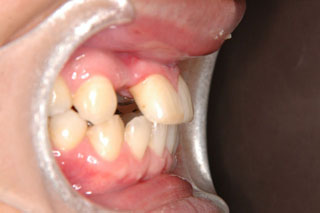
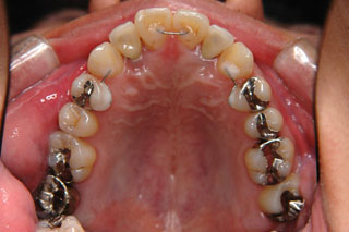
2年半ほどの治療で、装置を撤去し保定治療に移行しています。2番目の側切歯には人工的な歯を入れるため、インプラントをする事になりました。この時点で欠損部の粘膜の下にはフィクスチャーが埋入されています。

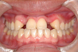
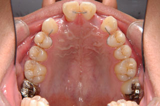
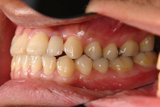
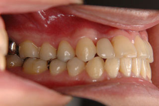
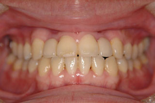
保定治療に移行してから2年半が経過しました。インプラントの上部構造も装着され、咬合も安定している状態です。下顎前突で上顎側切歯に先欠があると、下顎の小臼歯抜歯で対応する事も多いかも知れませんが、出来れば上顎の犬歯と下顎の犬歯を咬合させた方が、長い目で考えるとメリットが多いと考えています。

前ページにもどる
お問い合わせフォーム