

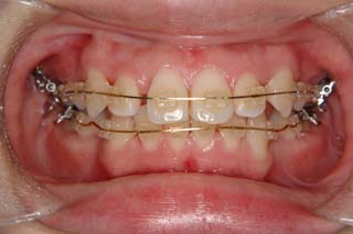
歯科矯正用アンカースクリューを用いた矯正治療について、歯科矯正用アンカースクリュー(デュアルトップオートスクリュー、ISAアドバンスなど)は医療機器認証番号がある製品が用いられます。また、オーソアンカー SMAPシステム のように医療機器承認番号があっても「顎顔面変形症及び不正咬合の外科的矯正治療、外科的矯正治療後の顎間固定」用の骨接合用品について、歯科矯正用として用いた場合は薬機法対象外の矯正歯科装置となり、医薬品副作用被害救済制度の対象外となる場合があります。
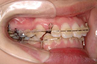
この症例では、目的外使用の オーソアンカー SMAPシステム が用いられています。







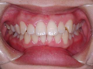
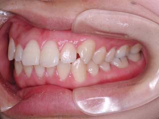
主訴:前歯が出ている
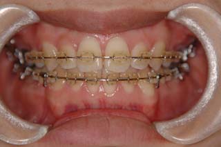
診断名:叢生を伴う上下顎前突
年齢:21歳
使用した主な装置名:TPB、マルチブラケット装置、オーソアンカー SMAPシステム
抜歯/非抜歯および抜歯部位:非抜歯
治療期間:動的処置2年1か月、経過観察3年
費用の目安:90~140万円
リスク、副作用:抜歯によるリスク、マルチブラケット治療に伴う歯根吸収など偶発症が発生するリスクがある。
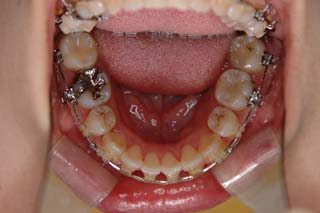
上顎前歯、下顎前歯の前突が見られます。大きな叢生は見られませんが、上下の口唇前突感も伴います。このような不正咬合を上下顎前突と言います。審美的な事もさることながら、歯軸の傾斜の問題から歯にかかるベクトルが良くない事、口唇の筋肉の緊張を強いるような不調和を示す事などから、不正咬合の一つとして考えられています。上顎前突傾向も伴っていますので、積極的に上顎前歯の後退を行う目的で、上顎に固定源となる 目的外使用の オーソアンカー SMAPシステム を装着しました。現在では、歯科矯正用アンカースクリュー(デュアルトップオートスクリュー、ISAアドバンスなど)といった、医療機器認証番号がある製品を用いることが多くなりました。






通常の矯正治療であれば、上顎の固定源として用いるのはヘッドギアという装置です。しかしながら、現状の日本では夜間使用以上の連続使用は難しいでしょう。ちなみにアメリカの学生は、授業中でもヘッドギアを装着してくれるみたいです。さぼり気味な人だと、ヘッドギアの効果が少なく、矯正治療が終わった後なのに、出っ歯の人もいるかも知れません。
歯を抜いた隙間を閉じる時、しっかり留めておかないと前歯が下がるだけでなく奥歯も前に寄ってきます。沢山、前歯を下げたい時には、奥歯と前歯を引っ張るのをやめて、前歯と別の固定源(歯科矯正用アンカースクリューなど)を引っ張ります。






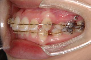
一般的なマルチブラケット装置を用いた治療では、先ずは形状記憶合金のワイヤーで大まかに配列を行い、バネをきかせたワイヤー、堅いワイヤーを使って仕上げていく方法です。






最終仕上げの段階です。かなり太めのワイヤーが入っていますが、このワイヤーの後にオーバーコレクション(元々の歯の捻れが有った場合、後戻りで出てきやすいので、わざと過剰に捻れを治しておく事)を行うための、細めのワイヤーを使う事もあります。