







主訴:前歯が出ている
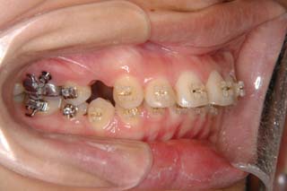
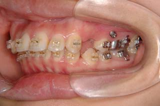
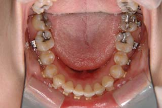
診断名:叢生を伴う上顎前突
年齢:24歳
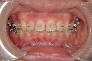
使用した主な装置名:TPB、マルチブラケット装置、歯科矯正用アンカースクリュー
抜歯/非抜歯および抜歯部位:抜歯(上顎左右第一小臼歯)
治療期間:動的処置2年6か月、経過観察3年
費用の目安:90~140万円
リスク、副作用:抜歯によるリスク、マルチブラケット治療に伴う歯根吸収など偶発症が発生するリスクがある。
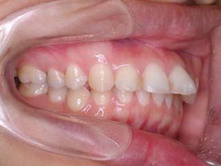
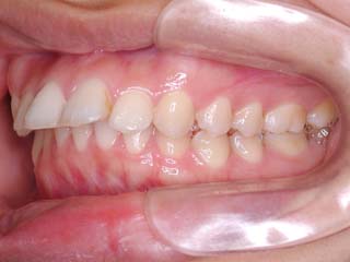
かなり強い上顎前突を示します。その他の問題はなさそうですが、小臼歯抜歯だけでは上顎前突に対応しきれそうにありません。上顎大臼歯に最大限の固定が必要と考えられましたので、上顎左右の臼歯部に計2本の歯科矯正用アンカースクリューの植立を検討してみました。






歯科矯正用アンカースクリューはそもそも骨の手術に使われる材料でしたが、使用目的を逸脱して矯正に利用されるようになってきました。しかし、現在では、治療効果が認められるようになり、自由診療だけでなく、保険診療でも使用が可能となっています。