







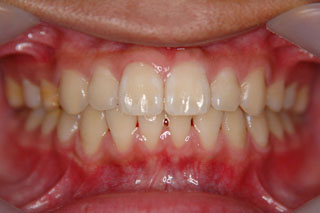
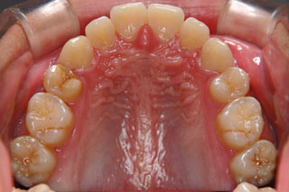
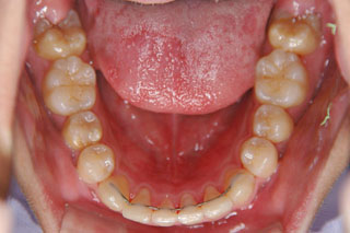
1年10か月ほどの治療で、装置を撤去し保定治療に移行しています。過蓋咬合のケースは、比較的、噛むための筋肉が発達している事が多いので、ゴールの設定と顎位のズレに注意すれば良好な咬合が得られやすいです。






保定治療を開始してから3年が経過していますが、良好な咬合の安定が維持されています。見た目だけではなく、中心位マウントの咬合器にて顎位のズレを計測していますが、計測値は1mm未満の数値である事を確認しています。概ね、ズレが出てきているケースでは、叢生などの後戻りも同時に見られることが多いです。保定観察での管理としては、保定装置のメンテナンス以外に歯周治療、咬合調整などがあります。