

歯科矯正用アンカースクリューを用いた矯正治療について、歯科矯正用アンカースクリュー(デュアルトップオートスクリュー、ISAアドバンスなど)は医療機器認証番号がある製品が用いられます。また、オーソアンカー SMAPシステム のように医療機器承認番号があっても「顎顔面変形症及び不正咬合の外科的矯正治療、外科的矯正治療後の顎間固定」用の骨接合用品について、歯科矯正用として用いた場合は薬機法対象外の矯正歯科装置となり、医薬品副作用被害救済制度の対象外となる場合があります。
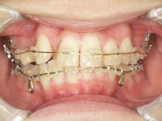
この症例では、目的外使用のオーソアンカー SMAPシステム が用いられています。






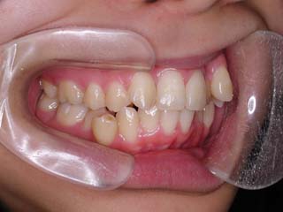
主訴:歯並びがガタガタしている
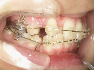
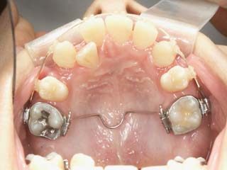
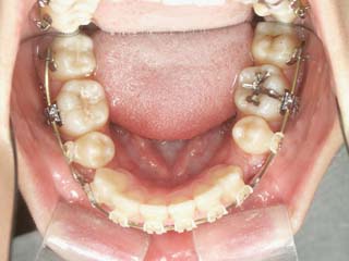
診断名:下顎右方偏位を伴う重度叢生
年齢:18歳
使用した主な装置名:マルチブラケット装置、オーソアンカー SMAPシステム
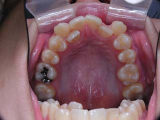
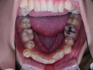
抜歯/非抜歯および抜歯部位:抜歯(上顎左右第一小臼歯、第二大臼歯、下顎左右第二小臼歯)
治療期間:動的処置2年6か月、経過観察3年
費用の目安:90~140万円
リスク、副作用:抜歯によるリスク、マルチブラケット治療に伴う歯根吸収など偶発症が発生するリスクがある。
かなり強い叢生を示します。大きな叢生と下顎の骨格性右方変位も見られますので、かなり難易度は高そうです。小臼歯抜歯だけでは叢生が改善しきらず、下顎右方変位に対応できません。上顎大臼歯の遠心移動が必要でしたが、幸い、形の良さそうな親不知が有りましたので、上顎に関しては第二大臼歯の抜歯を併用する事とし、上顎左右の臼歯部に計2本の目的外使用 オーソアンカー SMAPシステム を用いることにしました。






一般的には、強い叢生が見られる場合には、抜歯を併用することが多いです。特に拡大を伴う非抜歯矯正を行う場合には、後戻りの可能性があります。