

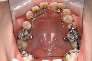
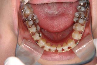
舌側矯正とは、リンガルブラケット矯正装置を用いた矯正治療のことです。用いられる装置には、薬機法対象となる医療機器認証番号がある製品(STb、クリッピーLなど)と、カスタムメイド型リンガルブラケット矯正装置(インコグニート、ハーモニーなど) があります。カスタムメイド型リンガルブラケット矯正装置については、製品ではなく技工物の扱いとなっているため、薬機法対象外の矯正歯科装置となります。その場合は医薬品副作用被害救済制度の対象外となる場合があります。当院では、上記のいずれも取り扱いを行なっておりますが、現在は主にカスタムメイド型リンガルブラケット矯正装置(ハーモニー)を使用しております。






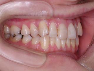
主訴:右上の前歯
診断名:骨格性下顎右方偏位、上顎前突を伴う叢生
年齢:18歳
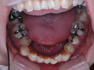
使用した主な装置名:ペンデュラム、HG、リンガルブラケット矯正装置
抜歯/非抜歯および抜歯部位:抜歯(上顎右側第一小臼歯)
治療期間:動的処置2年10か月、経過観察3年
費用の目安:90~140万円
リスク、副作用:抜歯によるリスク、マルチブラケット治療に伴う歯根吸収など偶発症が発生するリスクがある。
このケースでは、検査診断の結果、下顎の骨格性変位に伴う正中の不一致、叢生、上顎前突が見られました。治療方針として、上顎右側第一小臼歯抜歯、上顎リンガルブラケット矯正装置(Kurz)、下顎唇側マルチブラケット矯正装置による配列 右側II 級仕上げといたしました。






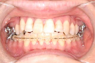
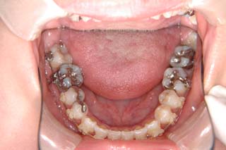
先ずは、大まかなガタガタを取り除く レベリングという治療上のステップです。しばしば最初の不正咬合の時点で見られた、咬耗、隣接面カリエスなどについて、矯正治療と並行しながら、治療・形態修正を行う事があります。斜めに接触している部分のむし歯治療より隙間が有る状態の方がキレイに治せられる事もあります。






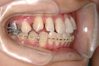
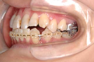
かなり配列が進んできました。ここからは顎や顎関節の位置関係などに注意を払いながら仕上げの行程に入ります。