

歯科矯正用アンカースクリューを用いた矯正治療について、歯科矯正用アンカースクリュー(デュアルトップオートスクリュー、ISAアドバンスなど)は医療機器認証番号がある製品が用いられます。また、オーソアンカー SMAPシステム のように医療機器承認番号があっても「顎顔面変形症及び不正咬合の外科的矯正治療、外科的矯正治療後の顎間固定」用の骨接合用品について、歯科矯正用として用いた場合は薬機法対象外の矯正歯科装置となり、医薬品副作用被害救済制度の対象外となる場合があります。
この症例では、目的外使用のオーソアンカー SMAPシステム が用いられています。






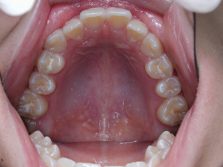
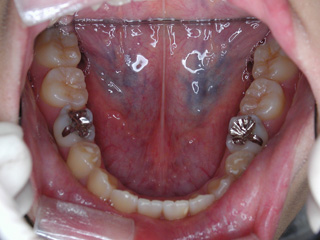
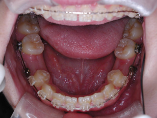
主訴:受け口
診断名:下顎左右第二小臼歯先天欠如、下顎左方偏位を伴う下顎前突
年齢:14歳
使用した主な装置名:マルチブラケット装置、オーソアンカー SMAPシステム
抜歯/非抜歯および抜歯部位:抜歯(下顎左右第二乳臼歯)
治療期間:動的処置2年6か月、経過観察3年
費用の目安:90~140万円
リスク、副作用:抜歯によるリスク、マルチブラケット治療に伴う歯根吸収など偶発症が発生するリスクがある。
下顎の第二小臼歯の先天欠如が見られました。先天性欠如歯がある場合、上下顎小臼歯抜歯のスタイルで歯数を合わせる事も多いのですが、抜歯数が増えるのが難点です。 プロファイル、下顎前突、非対称の問題を考慮して下顎にオーソアンカー SMAPシステム を植立し、下顎晩期残存の乳歯のみを抜歯し、永久歯の抜歯は行わず空隙を閉鎖致しました。大臼歯の咬合についてはIII 級仕上げ という噛み合わせにしています。





