









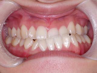
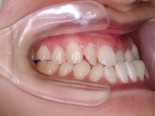
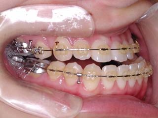
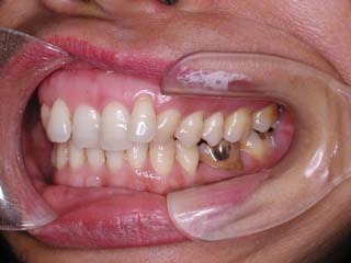
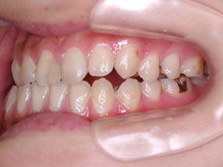
主訴:顎が歪んでいる 下顎が出ている
診断名:骨格性下顎左方偏位を伴う骨格性下顎前突
年齢:28歳
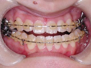
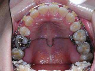
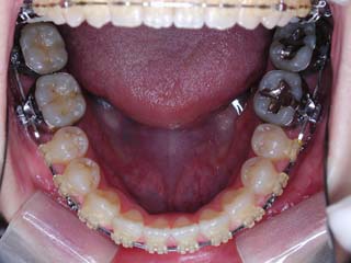
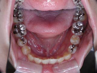
使用した主な装置名:TPB、マルチブラケット装置
抜歯/非抜歯および抜歯部位:抜歯(上顎左右第一小臼歯)
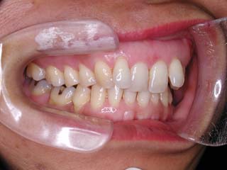
治療期間:動的処置2年3か月、経過観察3年
費用の目安:保険適応 自己負担金として30~50万
リスク、副作用:外科手術によるリスク、マルチブラケット治療に伴う歯根吸収など偶発症が発生するリスクがある。
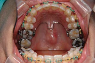
強い下顎前突と下顎の左方変位がみられます。成長を終了した永久歯列ですので、骨の大きさのズレへのアプローチは大きく別れる所です。程度が小さければ、歯の傾きで補うように解決しますし、大きなズレであれば、外科的に骨のズレを改善する治療が選択されます。前後のズレ、左右のズレと条件が重なってきた場合、より外科矯正での改善が望ましいものとなるでしょう。





一般的な外科矯正治療の流れは、術前矯正・外科矯正・術後矯正・保定治療と移行します。術前矯正では、手術を行う時点で、上下がぴったり合うような歯列に仕上げる事になりますので、逆に言えば、手術をしていない直前においては、とんでもなく噛めない状態となっている事が多いです。このケースでは下顎のみのセットバック(後退術)をSSROにて行いました。







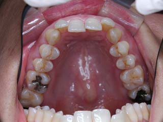
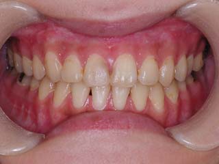
主訴:上の歯が出ている
診断名:顎関節症、下顎左右5欠損を伴う骨格性上顎前突
年齢:35歳
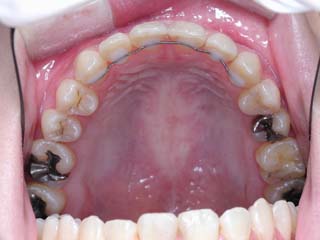
使用した主な装置名:TPB、マルチブラケット装置
抜歯/非抜歯および抜歯部位:非抜歯
治療期間:動的処置2年、経過観察3年
費用の目安:保険適応 自己負担金として30~50万
リスク、副作用:外科手術によるリスク、マルチブラケット治療に伴う歯根吸収など偶発症が発生するリスクがある。
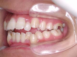
強い骨格性の上顎前突が見られます。しばしば、口腔内所見では骨格のズレを歯の補償的な傾斜などでカムフラージュさせているため、あまり大したことのないズレにしか見えない事があります。また、上顎前突の場合は、下顎が関節の位置で知らず知らずのうちに前方へ大きく偏位させて噛んでいる事が多いです。このような場合は、咬合器に装着してみて初めて、治療方針が見えてくるかもしれません。どのような不正咬合であれ、大きなズレに対しては、外科的に骨のズレを改善する治療が理にかなっています。前後のズレ、垂直のズレと条件が重なってきた場合、より外科矯正での改善が望ましいでしょう。





一般的な外科矯正治療の流れは、術前矯正・外科矯正・術後矯正・保定治療と移行します。術後矯正では、手術後に僅かに見られる後戻りに対する処置や、刻々と変化する額関節の環境に対応して調節を続けます。特に大きな問題が無ければ6か月程度で保定治療に移行します。






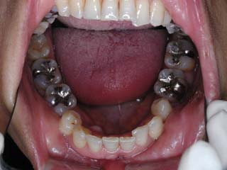
主訴:上の歯が出ている
診断名:顎関節症、上顎前突、叢生を伴う開咬
年齢:20歳
使用した主な装置名:TPB、マルチブラケット装置
抜歯/非抜歯および抜歯部位:抜歯(上顎左右第一小臼歯、下顎左右第二小臼歯)
治療期間:動的処置2年3か月、経過観察3年
費用の目安:保険適応 自己負担金として30~50万
リスク、副作用:外科手術によるリスク、マルチブラケット治療に伴う歯根吸収など偶発症が発生するリスクがある。
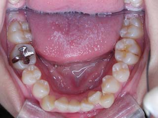
比較的強い叢生と、下顎の劣成長を伴う開咬が見られます。成長を終了した永久歯列ですので、骨の大きさのズレへのアプローチは大きく別れる所です。程度が小さければ、歯の傾きで補うように解決しますし、大きなズレであれば、外科的に骨のズレを改善する治療が選択されます。垂直的な問題はその他の不正咬合と比較して、解決が極めて困難な事が多いです。治療後の後戻りが頻繁に見られる不正咬合ですので、外科矯正での改善が望ましい場合も多いでしょう。



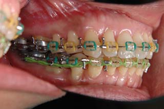
術前矯正の仕上げにスプリント治療を行った方が良い場合が多いです。現在、当院での治療では、術前に3か月のスプリント治療を必須にしております。せっかく手術までしてかみ合わせの位置を合わせようとしているのに、顎の関節の位置がずれていたらどうなるでしょう。顎の関節は往々にして顎の大きさのズレをカムフラージュするような偏位を示すので、術後にじわじわと後戻りしているような現れ方で、ズレが見えてくるのでは?このスプリント治療を徹底できたケースでは術後の安定性が極めて高いと感じています。
外科手術は、上顎のインパクションのみをLeFort1にて行いました。







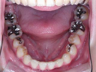
主訴:顎の歪み
診断名:骨格性下顎左方偏位
年齢:24歳
使用した主な装置名:TPB、マルチブラケット装置
抜歯/非抜歯および抜歯部位:非抜歯
治療期間:動的処置1年6か月、経過観察3年
費用の目安:保険適応 自己負担金として30~50万
リスク、副作用:外科手術によるリスク、マルチブラケット治療に伴う歯根吸収など偶発症が発生するリスクがある。
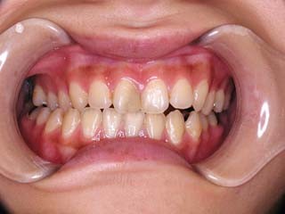
極めて強い側方変位を認めます。前後的・垂直的な問題は見られません。大きなズレであれば、外科的に骨のズレを改善する治療が選択されます。横断的な問題はその他の不正咬合と比較して、解決がかなり難しい事が多いです。治療後の後戻りが頻繁に見られる不正咬合ですので、外科矯正での改善が望ましい場合も多いでしょう。









このケースでは、外科手術は、上顎の傾斜の改善をLeFort1にて、下顎の正中の改善をSSROにて行いました。