







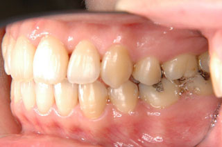
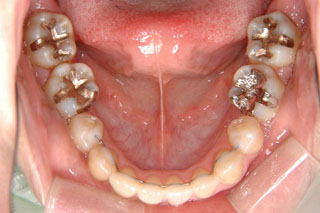
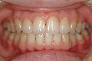
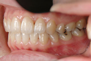
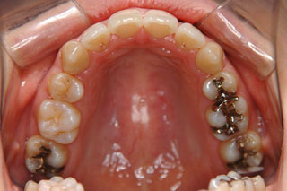
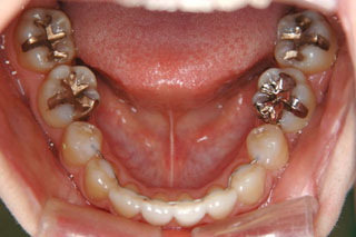
2年半ほどの治療で、装置を撤去し保定治療に移行しています。概ね緊密な臼歯の咬合と前歯の被蓋が確立されました。






保定治療を開始してから2年半が経過していますが、良好な咬合の安定が維持されています。見た目だけではなく、中心位マウントの咬合器にて顎位のズレを計測していますが、計測値は1mm未満の数値である事を確認しています。理想的には中心位=咬合位かも知れませんが、多少の遊びは必ず出てきます。しかしながら最初からルーズなゴールを目指していたら、的を外してしまうでしょう。できれば、ピンポイントで理想を目指したいものです。