

舌側矯正とは、リンガルブラケット矯正装置を用いた矯正治療のことです。用いられる装置には、薬機法対象となる医療機器認証番号がある製品(STb、クリッピーLなど)と、カスタムメイド型リンガルブラケット矯正装置(インコグニート、ハーモニーなど) があります。カスタムメイド型リンガルブラケット矯正装置については、製品ではなく技工物の扱いとなっているため、薬機法対象外の矯正歯科装置となります。その場合は医薬品副作用被害救済制度の対象外となる場合があります。当院では、上記のいずれも取り扱いを行なっておりますが、現在は主にカスタムメイド型リンガルブラケット矯正装置(ハーモニー)を使用しております。






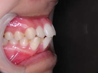
主訴:前歯のはならび
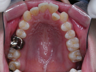
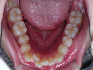
診断名:上下顎前突を伴う叢生
年齢:24歳
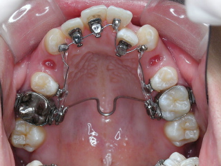
使用した主な装置名:TPB、HG、リンガルブラケット矯正装置
抜歯/非抜歯および抜歯部位:抜歯(上顎左右第一小臼歯、下顎左右第一小臼歯)
治療期間:動的処置2年10か月、経過観察3年
費用の目安:90~140万円
リスク、副作用:抜歯によるリスク、マルチブラケット治療に伴う歯根吸収など偶発症が発生するリスクがある。
このケースでは、検査診断の結果、強い叢生と上下顎前突が認められました。無理に非抜歯配列を行うと、上下顎前突も解消されませんし、歯根が歯槽骨から逸脱するようなトラブルも起こり得ますので、便宜抜歯の併用を考えなければいけません。当院ではあまり極端な非抜歯矯正はオススメしていません。





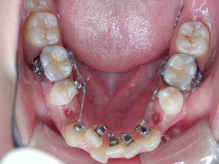
上下顎第一小臼歯の抜歯と、上下顎ともにリンガルブラケット矯正装置(Kurz)が装着されています。






かなり配列が進んできました。ここからは顎や顎関節の位置関係などに注意を払いながら隙間を閉鎖していきます。