治療例

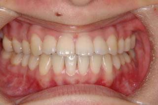
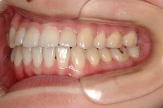
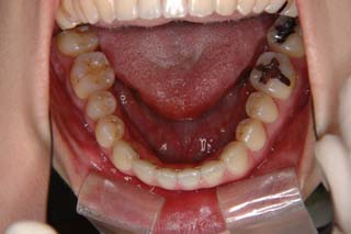
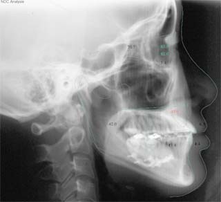
外科症例(アゴの輪郭でお悩みの方) 下顎前突

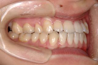
装置撤去です。動的処置は2年弱でしたので、通常のマルチブラケット治療とそれほど治療期間は変わりません。しかしながら、わずかな正中のズレが残ってしまいました。大きくは改善したのですが、左右のズレというものは、比較的、後戻りが現れやすい問題です。筋肉の影響によるものや、咬合平面の傾斜が左右的に水平でない事などが関係しているような気がします。今後は保定治療に移行し、数年にわたって咬合の安定状態を管理していきます。

前ページへ戻る
お問い合わせフォーム