

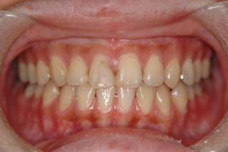
動的処置は1年半ほどでしたので、通常のマルチブラケット治療と治療期間は変わりません。大きく非対称の程度が軽減されたと思います。今後は保定治療に移行し、数年にわたって咬合の安定状態を管理していきます。





保定治療中です。概ね2年経過した所ですが、概ね安定を保っているようです。矯正治療の大切な事の一つに、いかに良い状態を長い年月維持させ続けるか ということも有ります。矯正治療は動かした後の保定治療も重要です。もちろんそれ以上に、そもそも安定しうる治療ゴールを目指していたのかが、保定治療で問われているのかも知れません。