治療例

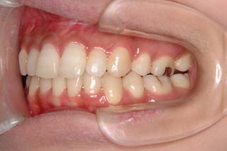
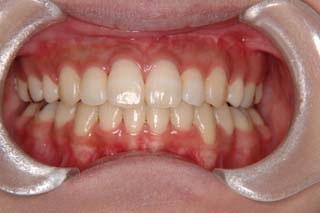
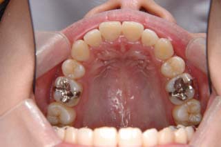
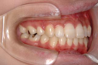
外科症例外科症例(アゴの輪郭でお悩みの方) 開咬

装置撤去です。動的処置は2年ちょっとでしたので、通常のマルチブラケット治療とそれほど治療期間は変わりません。極めてよい咬合状態が得られたと思います。今後は保定治療に移行し、数年にわたって咬合の安定状態を管理していきます。

前ページへ戻る
お問い合わせフォーム