治療例

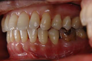
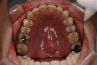
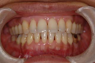
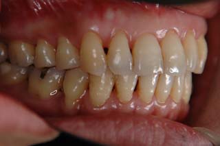
外科症例外科症例(アゴの輪郭でお悩みの方) 上顎前突

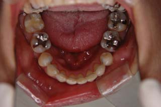
装置撤去です。動的処置はちょうど2年でしたので、通常のマルチブラケット治療とそれほど治療期間は変わりません。手術方法は、上顎のインパクションをLeFort1、下顎の前方移動をSSROで、オトガイの前方移動をジェニオプラスティーで行いました。今後は保定治療に移行し、数年にわたって咬合の安定状態を管理していきます。

前ページにもどる
お問い合わせフォーム