治療例

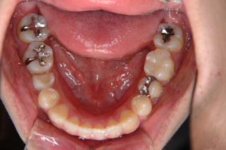
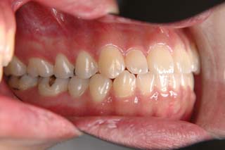
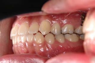
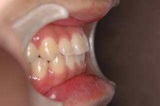
大人の矯正治療 歯科矯正用アンカースクリューを用いた矯正治療
(叢生/顎関節症/上顎左側小臼歯抜歯)

左側の臼歯部干渉が、治療を通じてみられたので、オーバーコレクション気味に軽い臼歯部開咬にしてあります。咬合器上での顎位の偏位はかなり軽減し、頭頚部の症状も随分軽快したようです。歯列の改善と、顎関節症状には、なんだかの関連があると推測されますが、不明なことが多いです。

前ページにもどる
お問い合わせフォーム