治療例

大人の矯正治療 歯科矯正用アンカースクリューを用いた矯正治療
(叢生/側方変位/小臼歯・大臼歯抜歯(オーソアンカー SMAPシステム))

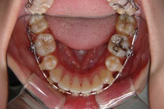
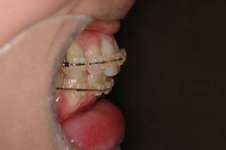
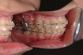
装置撤去直前です。動的処置は2年6か月でした。概ね良好な咬合状態が得られたと思います。今回のように、第二大臼歯の抜歯、親不知の配列を行うと、ケースによっては萌出待ちのため時間がかかってしまう事もあります。幸い、問題のない位置に親知らずが萌出してきました。

前ページにもどる
お問い合わせフォーム