治療例

大人の矯正治療 歯科矯正用アンカースクリューを用いた矯正治療
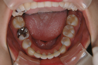
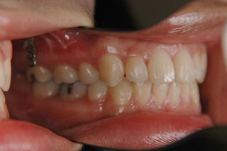
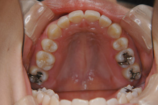
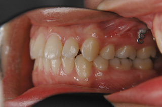
「顎顔面変形症及び不正咬合の外科的矯正治療、外科的矯正治療後の顎間固定」用の骨接合用品(オーソアンカー SMAPシステム)
(上下顎前突/上下顎小臼歯抜歯)

装置撤去です。動的処置は2年弱でしたので、歯の移動させた距離で考慮すると、比較的短い治療期間でした。極めてよい咬合状態が得られたと思います。いずれも強い固定源を利用した結果の成果と考えられます。まだ、オーソアンカー SMAPシステム がそのまま残っているのが見えますが、もう必要ないので撤去して貰う予定です。今後は保定治療に移行し、数年にわたって咬合の安定状態を管理していきます。

前ページにもどる
お問い合わせフォーム