治療例

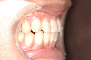
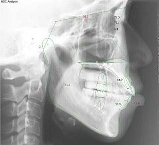
大人の矯正治療 舌側(リンガル)矯正
(開咬/叢生/非抜歯/リンガルブラケット矯正装置)

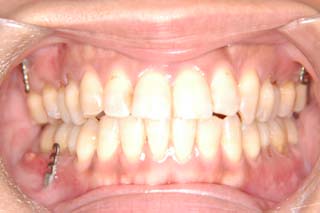
装置撤去です。動的処置は2年弱でした。十分とは言えない点もありますが、患者希望による非抜歯配列でしたので、概ね良好と言える結果が得られたと思います。まだ、オーソアンカー SMAPがそのまま残っているのが見えますが、もう必要ないので撤去して貰う予定です。今後は保定治療に移行し、咬合の安定状態を管理していきます。

前ページにもどる
お問い合わせフォーム