初めての方へ
診療日
スタッフ紹介
治療例
費用例
院内のご案内
よくある質問
採用情報
治療例
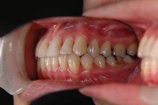
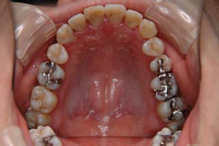
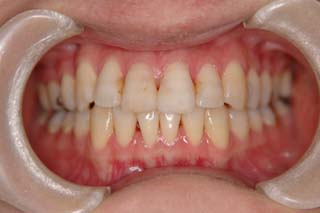
大人の矯正治療
舌側(リンガル)矯正
(叢生/正中変位/上右小臼歯抜歯(片顎片側抜歯)/ ハーフリンガル)
骨格的な非対称や治療前に見られた咬耗など、対処が難しい問題もありますが、前歯部被蓋、臼歯関係ともに良好です。今後、保定管理を継続する予定です。
前ページにもどる
初めての方へ
診療日
お子様の矯正治療
大人の矯正治療
外科症例
スタッフ紹介
費用例
院内のご案内
アクセスマップ
よくある質問
矯正歯科選びのポイント
ニュースレター
スタッフブログ
カウンセリング予約申し込み
採用情報
プライバシーポリシー
HOME