初めての方へ
診療日
スタッフ紹介
治療例
費用例
院内のご案内
よくある質問
採用情報
治療例
大人の矯正治療
舌側(リンガル)矯正
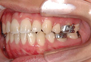
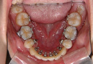
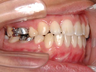
(叢生/上下顎前突/上下左右小臼歯抜歯/リンガルブラケット矯正装置)
いくつか気になる点が残っていますが、動的処置の終了が近いです。微調整が終了しましたら、保定治療に移行します。
前ページにもどる
初めての方へ
診療日
お子様の矯正治療
大人の矯正治療
外科症例
スタッフ紹介
費用例
院内のご案内
アクセスマップ
よくある質問
矯正歯科選びのポイント
ニュースレター
スタッフブログ
カウンセリング予約申し込み
採用情報
プライバシーポリシー
HOME