







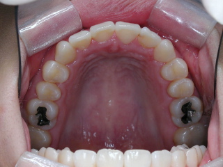
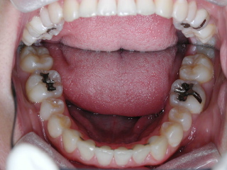
リンガルブラケット矯正装置は見た目はとても良いのですが、ブラケットが小さすぎて、カチッとした調節が利きにくいです。そこで当院では、全ての本格矯正の方に完成度を高くするための工夫をしています。通常矯正治療では、歯が並び針金を外した後すぐリテーナーと呼ばれる保定装置で固定をするのが一般的ですが、当院では固定をする前に1か月程度ダイナミックポジショナーと呼ばれるシリコンでできた取り外し式の装置を用いています。矯正治療で動的処置が終了したら、装置を撤去する前に模型を作成します。トゥルーヒンジで装着された上顎模型と中心位バイトでマウントされた下顎模型をさらにセットアップを施し、緊密な咬合を達成するよう配列します。この模型で作成されたダイナミックポジショナーを患者様に装着してもらうことで、より緻密な仕上げが可能になります。