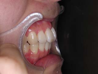
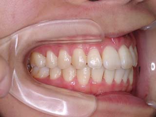
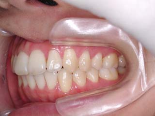
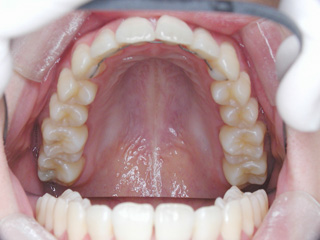
治療例

大人の矯正治療 舌側(リンガル)矯正
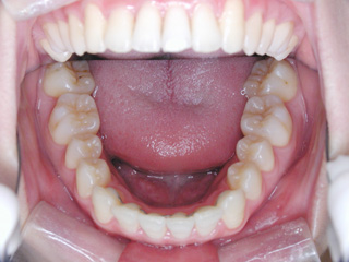
(叢生/ 非抜歯/リンガルブラケット矯正装置 )

装置撤去です。治療期間については個人差の大きい所ですが、このケースでは2年弱でした。前歯部被蓋正常、臼歯関係標準で概ね良好な咬合状態が得られたと思います。今後は保定治療に移行し、数年にわたって咬合の安定状態を管理していきます。

前ページにもどる
お問い合わせフォーム